近日,在麻醉科、手术室、心内科、导管室、超声科等多学科的积极配合下,果冻传媒
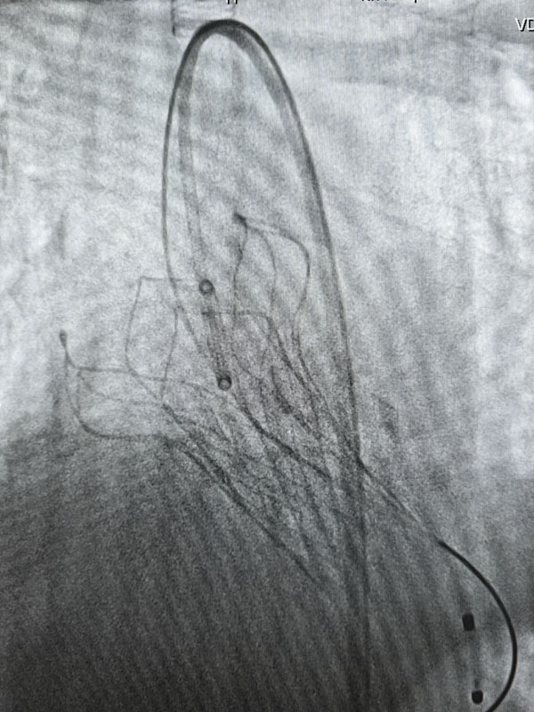
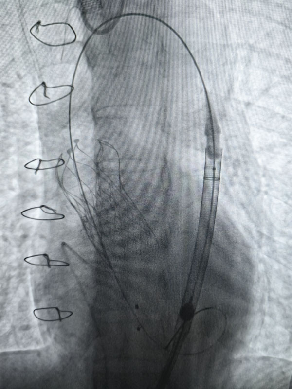
心血管外科团队在DSA复合手术室顺利完成两台高难度经导管主动脉瓣膜替换术(TAVR手术),皮肤切口仅1cm左右,以最小的创伤挽救了两名危重患者。该术式是一种运用导管导丝的微创技术,作为外科主动脉瓣膜置换术、药物治疗后的第三种治疗模式,有着不开胸、创伤小、时间短、恢复快等诸多优势,为许多高龄或危重的主动脉瓣患者带来希望。

一名患者在接受主动脉夹层人工血管替换术后第8年出现主动脉瓣大量反流,心衰非常严重。该患者情况较为特殊,既往有开胸手术病史,再次开胸手术极其困难,且心脏功能差,难以耐受传统的开胸体外循环下心脏瓣膜替换术,风险很高。另一名患者为74岁老年女性,身材肥胖,主动脉瓣膜二叶畸形伴重度狭窄。经多学科会诊和综合评估,两名患者适合更微创的经导管主动脉瓣膜替换术。
经过充分的术前准备,两台手术由心血管外科赵永波副主任主刀,赵伟超主治医师、侯五辉主治医师密切配合,选择经皮股动脉穿刺,预埋缝合器,术中反复造影,准确定位释放瓣膜,术后造影及超声提示人工瓣膜开启功能良好。为确保术中安全,体外循环小组全程保驾护航。患者生命体征平稳,术后一日均转出监护室。



作为一项技术含量较高的医疗新术式,经导管主动脉瓣膜替换手术(TAVR手术)的开展需要很多科室的共同合作。在果冻传媒
党委的正确领导和相关部门的帮助下,心血管外科联合心内科、麻醉科、手术室、导管室、体外循环小组、CT磁共振科、超声科等多学科组成TAVR技术团队,他们通力协作、攻坚克难,使多名危重患者重获新生。心血管外科团队将努力把TAVR手术打造成果冻传媒
新的优势特色技术,让更多老年或高危患者得到高质量的医疗救治服务。
心外科