
什么是脑胶质瘤?
胶质瘤又叫神经胶质瘤,起源于负责支持、营养神经元的神经胶质细胞,是颅内最常见的原发性恶性肿瘤。2022年我国神经胶质瘤发病率为10万分之7。胶质瘤的分级是根据肿瘤细胞与正常细胞的相似程度进行分类,低级别胶质瘤包括Ⅰ级和Ⅱ级(1级和2级),高级别胶质瘤包括Ⅲ级和Ⅳ级(3级和4级),胶质瘤的级别越高,肿瘤的恶性程度也随之上升。

胶质瘤可以发生在任何年龄段的人群中,但成年人更多。I到IV级胶质瘤患者的5年总生存率分别为98%、50%、30%和5%,且高级别胶质瘤的预后相对较差。
为什么会得脑胶质瘤?和接打手机有关吗?
脑胶质瘤的发生,是家族遗传因素与外部环境因素相互作用的结果。目前可以确定的两个危险因素是:暴露于高剂量电离辐射、与某些罕见疾病相关的遗传突变相关。虽然目前没有证据表明接打手机与患胶质瘤有明确的相关性,但是长时间在耳边接打手机还是不建议的。
如何及时发现脑胶质瘤?
脑胶质瘤引起的神经系统症状较为广泛。症状可能包括:频繁的头痛伴恶心、惊厥发作、感觉障碍、视力模糊、平衡困难、性格变化等,胶质瘤的症状与肿瘤所在部位的脑功能相关。
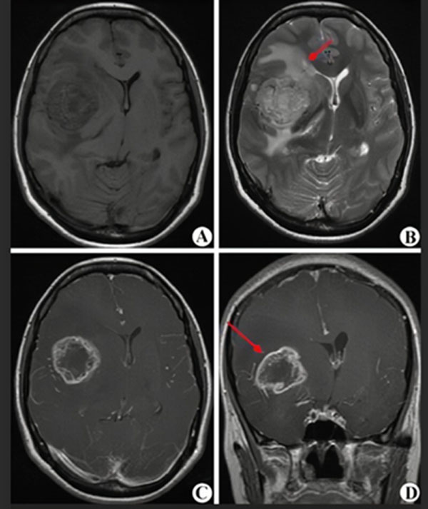
MRI(核磁共振)是一种无创伤的影像学检查,对脑肿瘤敏感性较高,大约1-2天可以拿到结果,是诊断和评估治疗效果的首选。但准确性只有80%-90%,不能作为确诊的最终依据。

(图A-D显示为高级别胶质瘤的核磁表现,红箭头指示肿瘤所在)
胶质瘤最终确诊还要依靠立体定向穿刺或开颅手术等有创操作,取得病变组织,由病理科医生确认病变是否为胶质瘤以及胶质瘤的级别,这一过程大约需要7-10天。
胶质瘤的基因检测是什么?有必要做吗?
最新的胶质瘤诊断由组织病理学诊断和分子病理学诊断两部分构成。组织病理可以明确病变是否为胶质瘤、组织类型及级别、恶性程度的高低。分子病理是指通过基因检测来明确肿瘤的基因特征及突变情况,明确肿瘤是属于哪种亚型,可以帮助我们评估治疗效果,判断肿瘤对放疗、化疗是否敏感以及指导治疗的方案及判断预后。简言之,基因检测能为胶质瘤的最终分型、治疗及预后评估提供重要的依据,可以使治疗更精准,在条件允许情况下,建议进行检测。
脑胶质瘤可以治愈吗?会转移到身体其他部位吗?
治疗胶质瘤有很多方法可以尝试,但没有一种方法是完美的。治疗方法包括手术、放疗、化疗、靶向药物治疗、电场疗法等。胶质瘤转移到颅外其他部位也是较为罕见的。
I级胶质瘤肿瘤侵袭性较低,完全切除后不需要放化疗,会有一个较长的生存期。II级及以上胶质瘤往往呈侵袭性生长,肿瘤与脑组织边界不清楚,标准治疗计划包括手术切除肿瘤,然后进行放疗或化疗,以杀死残留的瘤细胞,理论上难以治愈,且胶质瘤可能会在治疗期间或治疗后复发。如今,随着胶质瘤研究的深入,治疗技术的更新,疗法组合不断优化,甚至包括可参与的临床试验,我们能够做到在一定程度上阻止胶质瘤的生长,这也使得达成长期存活的胶质瘤患者越来越多。
脑胶质瘤延迟治疗会怎样?
早确诊、早治疗是脑胶质瘤良好预后的关键。不积极治疗,尤其是延迟手术,大多数情况下不仅不能少遭罪,往往还会遭遇更多艰难的情况。延迟治疗可能错过最佳的治疗和恢复时机,后果主要体现三方面:肿瘤恶化升级、生活质量降低、生存期缩短。
一是部分低级别胶质瘤,有恶化升级的可能,或者高级别胶质瘤生长快,容易造成巨大的颅内占位难以手术;二是本来能够不留后遗症,结果任其发展,出现肢体瘫痪、视力下降、失语等残疾生活状态;三是生存期缩短,目前的医疗手段虽然无法根治肿瘤,但是可以延缓进展、提高生存期。
手术切除、化疗和放疗的意义是什么?年龄很大还可以手术吗?
手术可以缓解临床症状,延长患者生存期,获得足够的标本来明确病理诊断和分子水平研究。在安全的前提下,最大限度切除肿瘤是胶质瘤手术的目标。随着科学技术的不断进步,在现代胶质瘤的手术中,有多模态磁共振、神经导航、术中超声、术中神经电生理、术中唤醒等技术的辅助,使得胶质瘤的手术更加精准、更加安全。
高级别胶质瘤的术后放疗有利于患者生存期的延长。由于胶质瘤侵袭性生长的特点和大脑功能区的存在,很难实现扩大切除。因此,对于恶性胶质瘤,即使在影像学上彻底切除,也要采取肿瘤周围脑组织的放射治疗。有助于延缓肿瘤复发,延长患者生存期。
化疗可以进一步杀死残存的肿瘤细胞,有助于延长患者的生存时间、延缓病情复发。目前,化疗在胶质瘤治疗中的作用越来越受到重视。不断开发的新药、电场治疗、靶向治疗、疫苗的开发等给了胶质瘤治疗新的手段和新的希望。
年龄是影响患者恢复效果的重要因素,但仍有许多老年患者可以从手术、放疗或化疗中受益。但对于患有重大基础疾病的患者,建议根据个体情况选择合适的治疗方案。

如何预防和处理胶质瘤的复发?
要坚持胶质瘤术后系统治疗,坚持定期复查。低级别胶质瘤每3-6个月复查一次,5年后每年复查一次。高级别胶质瘤放疗后2-6周进行头部MRI检查,2-3年内每2-3个月进行MRI检查,3年后每3-6个月进行一次。病情复发时及时联系主治医生,听取专业意见,进行规范治疗,复发患者的生存期也会得到受益。
文/靳乾旭 佟静